Datos sobre endodoncia
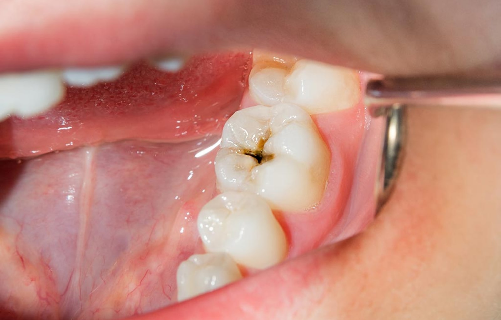
- La endodoncia es un procedimiento común en la odontología, que se realiza para tratar dientes con inflamación o infección de la pulpa dental.
- Los síntomas comunes que indican la necesidad de un tratamiento de endodoncia incluyen dolor de dientes, sensibilidad al frío o al calor, hinchazón y enrojecimiento en las encías, y una sensación de dolor al morder o masticar alimentos.
- El procedimiento de endodoncia generalmente se realiza bajo anestesia local para asegurar la comodidad del paciente durante el tratamiento. En algunos casos, puede ser necesario prescribir analgésicos o antibióticos antes o después del procedimiento para controlar el dolor o la infección.
- Después del tratamiento de endodoncia, es posible que el paciente experimente una sensación de sensibilidad o incomodidad en el área del diente tratado durante unos días, pero esto suele desaparecer con el tiempo. Es importante seguir las instrucciones del dentista sobre la higiene dental y los cuidados posteriores al procedimiento para garantizar una recuperación rápida y completa.
- El éxito del tratamiento de endodoncia depende de varios factores, incluyendo el estado de salud general del diente y la capacidad del paciente para mantener una buena higiene bucal después del tratamiento. En general, la tasa de éxito del tratamiento de endodoncia es alta, y los dientes tratados pueden durar muchos años, e incluso toda la vida con los cuidados adecuados.
- Si el tratamiento de endodoncia no es exitoso o no se puede realizar, puede ser necesario extraer el diente y considerar opciones de reemplazo dental, como un implante dental o un puente dental.
- En algunos casos, la endodoncia se realiza como parte de un tratamiento más amplio para restaurar la salud bucal del paciente, como en el caso de un diente fracturado o debilitado que requiere un tratamiento de conducto radicular y una corona dental.


